|
Manos Manos |
Πέμπτη, 12 Φεβρουαρίου 2015 |
|
|
|
Έγινε η πρώτη επέμβαση συρρίκνωσης πέους σε 17χρονο
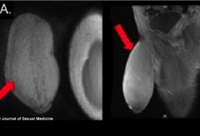
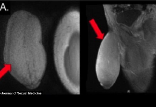
Σε επέμβαση συρρίκνωσης πέους υπεβλήθη ένας Αμερικανός 17χρονος έφηβος επειδή το γεννητικό του όργανο ήταν υπερβολικά μεγάλο και τον εμπόδιζε να κάνει σεξ και να συμμετέχει σε ορισμένα αθλήματα.
Το πέος του έφηβου είχε διάμετρο 25 εκατοστά και μήκος 17 εκατοστά. Οι χειρουργοί του περιγράφουν το σχήμα του σαν μια μπάλα αμερικανικού fotball.
Ο έφηβος έμεινε για δύο ημέρες στο νοσοκομείο και στη συνέχεια επέστρεψε σπίτι του.
Οι χειρουργοί δεν έκαναν τις τελικές μετρήσεις στο πέος του, παρόλο που ο ουρολόγος Δρ. Καρριόν δήλωσε ότι το αποτέλεσμα ήταν "γενναιόδωρο". parapolitika
|
|
|
 | Ανάγνωση… |
  
 | Ανάγνωση… |
|