|
Manos Manos |
Πέμπτη, 5 Ιουλίου 2012 |
|
|
|
Ένα χιλιοστό από το...θάνατο (Pics)
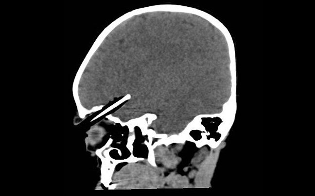
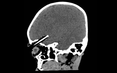
Η μικρή Wren Bowell ήταν άτυχη: καθώς περπατούσε σκόνταψε και έπεσε πάνω στο μολύβι που κρατούσε το οποίο διαπέρασε την κόγχη του ματιού της και «καρφώθηκε» στον εγκέφαλό της.
Ταυτόχρονα η Wren Bowell ήταν πολύ πολύ τυχερή: το μολύβι πέρασε ξυστά από το βολβό του ματιού της και από τρία αιμοφόρα αγγεία και κατέληξε σε βάθος τεσσάρων εκατοστών μέσα στον εγκέφαλό της.
Μεταφέρθηκε εσπευσμένα στο νοσοκομείο του Somerset στη Βρετανία, όπου υποβλήθηκε σε 4ωρη επέμβαση από νευροχειρουργούς για να σωθεί η ζωή της. Μέρος του κρανίου της χρειάστηκε να αφαιρεθεί για να απομακρυνθεί το μολύβι.
Το εντυπωσιακό είναι πως το κοριτσάκι τη γλίτωσε χωρίς κάποια ζημιά στον εγκέφαλο ή τη όρασή!
Δείτε τις φωτογραφίες...




 ofono
|
|
|
 | Ανάγνωση… |
  
 | Ανάγνωση… |
|